当院は歯列矯正専門のクリニックです。
最近、矯正歯科学会で問題としてあがっている、一般医で扱う取り外し式プレート“床矯正”による不確実な治療を行うことは絶対にありません。
当院では、世界の矯正専門医の共通概念に則り治療を行っています。ご安心ください。
注意喚起
ここ数年にわたり、お子さんを持つお母様からのご相談で「プレート矯正」の効果について質問されることが本当に多くなっています。
矯正治療には世界共通のゴールが存在します。私たちは患者さんを診断し、治療ゴールに向けた最善の治療法を提案し、数ある装置から最も適した装置を選びます。
ただただ横に拡げれば解決するような単純なものではありません。
代官山矯正歯科の初診相談では、実際に治療をおこなう院長がすべての患者さまに直接応対いたします。
そのために、ご希望される時間での予約が難しい場合があることをご了承ください。
ご予約の際には、日程に余裕をもってお申し込みされることをお勧めいたします。
小児矯正(こどもの歯列矯正)
「乳歯の頃は歯並びが良かったのに…」
「最近、子どもの前歯がガタガタしてきたような気がする…」
「大人の歯が生えてきたら受け口になってきた…」
「いつも行ってる歯医者さんでは何ともないと言われたのに、検診で指摘された…」
など、 お子さまの歯並びについてお悩みになっていらっしゃいませんか?

![]()

「こどもは小さな大人ではない」という有名な小児科医の言葉があります。
この言葉は、子供のすべての器官は決して大人の縮小版ではなく、成長過程で常に変化し続けるものであり、子どもの治療は人間の「成長発育」を理解することが大切であることを言っています。
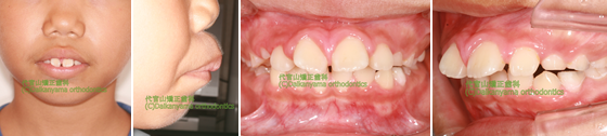
小児の矯正は、効果的な治療開始の時期、必要性の有無などの判断がとても重要です。
小児矯正の有効時期は、年齢で判断することはできません。それは、歯列や骨格の成熟度合いが個人で異なるからです。
当院では、お子さまの骨格の成熟度を知るため、通常の検査に加え“手の骨”のデジタルレントゲンを撮影し、治療開始の時期を決める資料とさせていただいています。
ご両親が、あれ?と思ったら、まずは当院の初診相談にお越しください。
こどもの矯正では何をするの?
子どもの矯正治療の目的とは、歯のデコボコやすきっ歯の改善とともにこれから生えてくる
犬歯、小臼歯のための隙間を可能な限り確保していくことはもちろんですが、奥歯や前歯を
正しい位置関係に配列させると共に、旺盛な成長能を誘導して上アゴ、下アゴの骨格的な
バランスを整え、正しいアゴの成長を促すことにあります。
もし上アゴの成長が弱い「受け口」であれば、上アゴの骨ごと前方に牽引して下アゴに
合わせたり、上アゴの成長が強い「出っ歯」であればズレている奥歯から骨ごと後ろに
移動させて前歯を引っ込める治療をおこないます。このような骨格からの改善はこの
時期でしかできない治療なのです。
当院では精密検査の結果から、お子さまの成長発育のタイミングをみて最も効果的な
時期に治療を開始しております。
治療内容によりますが、治療期間はおおよそ一年~一年半です。
お子さまの歯並びで何かお気づきの点がございましたら、まずは当院にご相談ください。
大人の歯に全部かわってから治療してはだめですか?
こどもの時期におこなう矯正治療(一期治療)の利点は、まだ本人に成長発育する力が存在しているということです。
この時期であれば、将来永久歯で正常な咬み合せをつくるための土台となるアゴの成長を、正しい方向へと促す「成長誘導」ができるのです。予防矯正、育成矯正と言われるのはこのためです。
成長が終わってしまうとアゴの位置や大きさを変える骨格からの改善は難しくなるので、歯のデコボコやアゴの位置を治すのに、歯の移動のみで対応していくか、外科手術を伴うことになります。
「代官山矯正歯科」では、当院でお子さまの矯正治療(一期治療)を終了された患者さまが大人の矯正治療(二期治療)に移行する場合、その費用はこれからかかる「大人の治療費」からこれまでの「お子さまの治療費」を差し引いた額になります。そのため、お子さまの矯正治療から始めても大人になってから始めても、治療費総額はまったく変わりません。
成長発育段階の子供の時期は骨格への治療という“歯並びのための基礎的治療”ができるため、将来大人の矯正に移行した際に抜歯の可能性が低くなるなど効率的な治療が可能になるのです。
診療カレンダー
■:休診日です。



